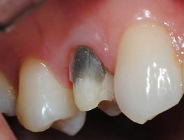
비스무스옥사이드를 조영제로 사용하는 모든 흰색 MTA는 변색됩니다.
국내 유통되고 있는 제품중 바이오엠티에이사의 오쏘엠티에이(BioMTA, OrthoMTA), 마루치사의 엔도셈(Endocem gray), 덴츠플라이사의 프로루트엠티에이(Proroot MTA),
브라질 제품인 엠티에이 안젤루스(MTA angelus)는 변색 되므로 코로날 부위사용은 조심해야 합니다.
특히 근관충전에 사용할때 조심해야 겠지요..
MTA는 루틴하게 사용하는 근관충전재가 아니라는 보존학회의 입장입니다.
'MTA ' 카테고리의 다른 글
| 오스코, MTA(mineral trioxide aggregat)국내 최저가 판매! (0) | 2015.06.04 |
|---|---|
| MTA 경화시간과 팽창률 (0) | 2015.06.01 |
| MTA 리키지 테스트 (0) | 2015.05.20 |
| 비스무스옥사이드를 함유한 MTA 충전으로 인한 치아 변색 (0) | 2015.05.19 |
| MTA 근관충전에대한 대한치과 보존학회의 공식입장과 의견 (0) | 2015.05.10 |